日本口腔インプラント学会「専門医」
国際口腔インプラント学会「認定医」
ダブルライセンス
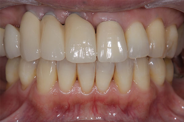
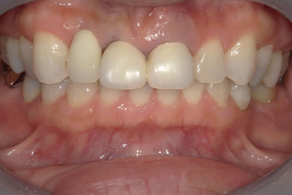
「安全性」と「機能性」を追求した
精密インプラント治療
インプラント治療のエキスパートが担当します
インプラントは、自身の歯のような見た目と噛み心地を得られる治療法です。しかし、インプラント治療は外科処置が必要なため、高い技術力と安全性が求められます。インプラントの技術力が欠ければ、安全に治療をすることはできず、患者さんへの負担も大きくなります。
インプラント治療をする際には、歯科医師に技術があるかを見極めることが大切です。歯科医師を見極めるポイントは「専門医」や「認定医」の取得です。なぜなら、専門医や認定医の資格を取得するためには高いハードルがあり、学会に参加したり新しい知識や技術をアップデートしたりといったことを基本とした上で試験に臨む必要があるからです。
当院のドクターは厳しい条件をクリアし、インプラントの専門医や認定医として活動しています。次から、当院のドクターをご紹介します。
インプラント担当ドクターの「ご紹介」
神野 正人
経歴
| 名古屋大学工学部卒業 |
|---|
| 愛知学院大学歯学部卒業 |
|---|
| 二村医院勤務(医局長) |
|---|
資格・所属学会・団体
- 日本口腔インプラント学会 専門医
- 国際インプラント学会 認定医
- 顎咬合学会かみあわせ 認定医
- 日本歯科人間ドック学会 認定医
- マウスガード 認定医
- 日本口腔腫瘍学会会員
- 日本臨床口腔病理学会会員
- 日本歯科医学教育学会会員
- 愛知学院大学歯学部病理講座非常勤講師
- 歯科医師臨床研修 指導医
- インビザラインドクター(米国アライン社認定)歯学博士
人為的ミスを可能な限り排除するための「取り組み」
CT
歯科用CTとは、あごの骨や歯などを立体的に見ることができる機器のことです。一般的な歯科治療で使われる2次元レントゲンに比べてCTでは、詳細な情報を多く得られます。特に、下あごの奥歯には下歯槽管という神経や血管が通っている管(くだ)があります。
下歯槽管の位置を正確に把握しないまま治療を行うと、誤って傷つけることも少なくありません。下歯槽管が損傷した場合、麻痺や痺れといった症状が残る可能性もあります。そういった事故を未然に防ぐためにも当院では、事前にCT撮影を行い骨の状態や神経、血管の位置を明らかにした上で安全性をチェックし、インプラントを最適に入れる位置を特定します。その結果、当院のインプラントオペは、安全性の高い治療を維持しています。
シミュレーションソフト
CT検査のデータを元にコンピューターで「3D治療シミュレーション」が可能です。3Dシミュレーションの最大の特徴は、事前にオペのシミュレーションが可能な点です。従来のインプラント治療は、レントゲン写真を元に歯科医師の経験や勘でオペを行うのが一般的でした。
しかし、この治療法は正確性や安全性に欠け、患者さんへのリスクも高いです。一方で、シミュレーションでは神経や血管などの危険な部分を確認しながら、インプラントを入れる位置やサイズを決めていきます。
これまでの歯科医師の経験や勘といった不確実なことに頼るのではなく、コンピューター上で実際の手術と変わらないシミュレーションを行うことで、正確性や安全性が高めたオペが可能です。
インプラントガイド
インプラントを安全に埋入するには、噛み合わせやあごの骨の形態や骨質、インプラントサイズの決定などの細かいポイントを確認していきます。インプラントガイドは、決定した位置に正確にインプラントを入れるサポートをする器具です。
マウスピースのような形になっていて、手術時には歯に装着して使用します。インプラントガイドは、インプラントを正確な位置に埋めるための「ものさし」です。「ものさし」であるガイドを基準として手術が進んでいくため、手術時間の短縮に繋がります。
また、インプラントガイドを使用する手術では、あごの骨質や歯茎の厚みなどが把握できるため、歯茎を切る範囲が少なく済みます。その結果、痛みや腫れを抑えた手術が可能です。
患者さんの負担を抑える「術式」
インプラントを入れる術式は、ひとつではありません。「手術回数を最小限にした術式」「手術当日に歯が入る術式」など、さまざまな方法があります。歯科医院によっては、インプラントができないと手術を断るところもありますが、その原因は手術ができる技術力がないことも要因のひとつです。
当院は、難症例のインプラント治療も可能です。患者さんの口内の状態だけでなく、全身を把握した上で最適な術式でインプラント治療を行います。
なお、当院で実施している術式を次から紹介します。
抜歯したその日に歯が入る
「抜歯即時荷重インプラント」
グラグラしている歯は抜歯後、傷口が治ってからインプラントを行う流れが一般的です。しかし、抜歯してから傷口が治るまでに1ヶ月〜2ヶ月の期間が必要で、治療期間が長くなります。
そこで、「抜歯即時インプラント」という術式を行います。抜歯即時インプラントは、抜歯を行うと同時にインプラントを入れる術式です。通常の場合、2回の手術が必要なケースもこの術式でオペを行うことで、1回の手術で済み「治療期間の短縮」が可能です。また、何度も歯茎を切る必要がなく、患者さんの「身体的負担を軽減」できます。
1回のオペで治療が完了する「オールオン4」
All-on-4(オールオンフォー)は4本のインプラントを埋入し、その上に繋がった歯の被せ物を装着して、見た目や噛む機能を回復する治療法です。片あご4本のインプラントで、全ての歯を支える固定式のインプラントになります。
今まで歯を全て失った場合には、片あごに8本〜14本のインプラントを入れる必要があり、費用が高額に必要だったり、手術回数が多かったりと患者さんにとって大きな負担でした。特に、長い間入れ歯を使用していた場合、顎の骨の厚みや量が減っていることが多く、骨を増やす処置も必要になります。しかし、オールオンフォーはこれらの問題をクリアする画期的な治療法です。
下記は一般的なインプラントとオールオン4の比較です。
「厳選したインプラントメーカー」のみを採用
インプラントは、世界中のものも含めると約200社以上のメーカーが存在し、歴史があるものから最近のものまでさまざまです。使うメーカーによっては、効果や仕上がりに差が出ることもあります。特に、インプラントは身体に入れるため、安全性が確立しているメーカーのものを使うのが基本ですが、中にはマイナーなインプラントメーカーのものも存在します。
マイナーなインプラントは衛生面に不安があったり、実績が少なかったりと長期的に安定できるのかなど不安要素が多いです。一方で、歴史あるインプラントは多くの実績を積み、改良を重ねているため精度が高くなっています。
当院では、患者さんに安全性の高い治療を実現するため、信頼性の高いアストラテック社のインプラントを中心に治療を実施しています。
アストラテックインプラント
「Astra Tech Implant(アストラテックインプラント)」は、歯科医療先進国であるスウェーデンに本社を構えるメーカーです。アストラテック社のインプラントは世界3大インプラントと言われるほど、高いシェア率を誇ります。
また、通常は骨とインプラントの結合が3ヶ月〜6ヶ月かかりますが、アストラテックインプラントシステムは1ヶ月ほどの期間で骨とインプラントの結合が可能なため、治療期間を短くできます。
また、インプラントは使い続けていくうちに、少しずつ周辺の骨が吸収していく傾向がありますが、アストラテックインプラントを入れた周辺の骨が吸収しにくいといったメリットがあり、安定して噛むことが可能です。他にも、当院では、世界的シェア率を誇るストローマングループの「ネオデントインプラントシステム」も症例によって使用しています。
個室のオペ室も完備
インプラント治療は、完全個室のオペ室で処置を行います。通常の歯科治療を行う診療台でもインプラント手術は不可能ではありませんが、歯を削った粉塵が舞う場所で手術をするのは衛生的に良くありません。
当院では手術中の感染を防ぐため、衛生管理が行き届いている個室での治療を行っています。また、器具は消毒・滅菌したものを使用し、徹底的に清潔を保って治療に取り組んでいます。
歯科技工士とのチーム医療
インプラントは歯科医師だけで、成り立つ治療ではありません。顎の骨に入れたインプラントの上に取り付ける歯の部分(上部構造)は、歯科技工士が作製します。被せ物(上部構造)の精度が低ければ、インプラントにトラブルが起きやすいです。
そういったトラブルを回避するために当院では、歯科技工士との連携を密に取り、口内の情報を多く伝えるようにしています。また、被せ物を作成する段階の時には歯科技工士も立ち会いをし、違和感のないオリジナルの被せ物を作成します。
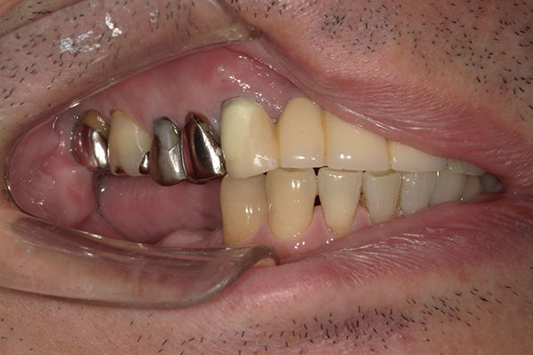
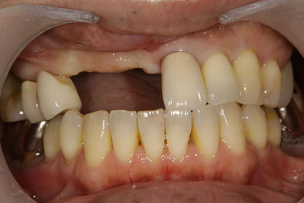
「骨が少ない/薄い方」へ
インプラント治療は、あごの骨にインプラントを固定します。そのため「骨が薄い」「骨の量が足りない」などの場合には、インプラントはできないと治療を断られることも少なくありません。当院では、骨を増やす(骨造成)処置を行い、インプラントができる土台を作ります。
また、骨を増やすにもいくつか方法があり、当院では治療部位や口内の状態によって手法を変えて処置を行います。骨が少ないという理由でインプラントを断られた方は、まだ治療を諦めるには早すぎます。まずは、お気軽にご相談ください。
治療後は「インプラント周囲炎」に注意が必要です
インプラントは埋めたら終わり、ではありません。この言葉を聞いて「インプラントは歯じゃないから虫歯にならないしケアは簡単」と思っている方も少なくないでしょう。確かに、インプラントはチタンという金属でできているため、虫歯にはなりません。
しかし「インプラント周囲炎」になることがあります。インプラント周囲炎とは、細菌がインプラントを支えている骨を溶かす病気のことです。インプラント周囲炎の症状が強く出ている場合には、抜去が必要になるケースがあります。インプラントを入れたら安心して通院しなくなる方も少なくありませんが、インプラント周囲炎の予防には、自宅でのセルフケアに加えて「定期的なメンテナンス」が効果的です。
口内に合った歯磨きの仕方を歯科医師や歯科衛生士から学んだり、適切な間隔で通院したりといったことが、インプラント周囲炎を未然に防ぎ、長く使い続けられる秘訣でもあります。
なお、当院では積極的に患者さんに適した歯磨きの仕方を教えています。磨きにくい部分や磨き方がわからないなどの質問や不明点がありましたら、いつでも担当医や歯科衛生士にご相談ください。
最後に、担当医からのメッセージ
インプラントは歯科で革命的な治療法ですが、自費治療で費用が高額になりやすかったり、外科処置が必要だったりといったデメリットがあります。一方で、他の歯を削らず、負担をかけずに見た目や噛む機能を回復できるメリットもあります。
ここで、一般財団法人日本予防医学協会が「歯1本の価値」について独自に調査したデータを紹介します。調査の結果、一般の人は1本の歯に対して約35万円の価値がある。歯科医師の場合は歯1本あたり約104万円の価値があると回答しています。この金額を高いと感じるか、安いと感じるかは人それぞれですが、インプラント以外の治療法の入れ歯やブリッジをする場合には歯を大きく削ったり、負担がかかったりと歯へのダメージが大きく、歯の寿命を縮める原因になることがあります。
つまり、歯に負担をかける行為は、歯の価値を下げていることになるのです。インプラントは独立した状態で歯の代わりができるため、他の歯の価値を維持し、守ることが可能です。まずは、ご相談からでも大丈夫です。お気軽にご来院ください。
コラムセカンドオピニオンにも対応しています
当院では、セカンドオピニオンを受け付けています。セカンドオピニオンは、担当の歯科医師とは別の歯科医師から治療についての話を聞くことです。
セカンドオピニオンを受けることで、治療法の選択肢が広がるというメリットがあります。なぜなら、同じ治療をするにしても、治療方法は歯科医師によって異なるからです。当院では、インプラントをはじめ、さまざまな治療のセカンドオピニオンを受け付けています。
初診「個別」相談へのご案内
当院では、患者さんが抱えていらっしゃるお口のお悩みや疑問・不安などにお応えする機会を設けております。どんなことでも構いませんので、私たちにお話ししていただけたらと思います。
ご興味がある方は下記からお問い合わせください。

※ LINE予約は既存患者さん専用となります
- お電話でのご予約・お問い合わせ
- 052-879-1818