こんな「ボロボロの歯」、
今さら治せないと思っていませんか?
- 過去の「トラウマ」で、歯医者に行けない
- 「口の中」を見られたくない
- 治療時の「痛み」を我慢できない
- 「不必要な」治療をされたくない
当院は上記のようなことは決して行いません

当院は上記のようなことは決して行いません








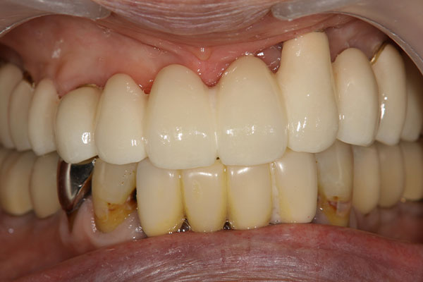
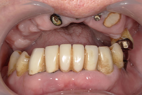
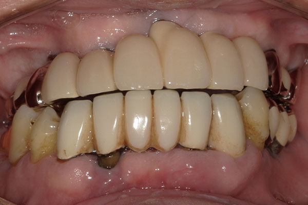
ボロボロの歯になってしまう方は、それぞれに複雑な原因があります。
体質によって虫歯や歯周病になりやすい方もいます。ただ、ボロボロの歯になるまで治療を避けてしまう方は、かつて歯医者に行った際の「トラウマ」を持っていることが多いようです。
治療時に強い痛みがあり、我慢できなかった
治療に対する希望を聞き入れてもらえなかった
不要な部位まで、治療されてしまった など
こうした歯科医院の対応が原因で、トラウマになってしまったという方も多いのでは。これらは本来、歯科医院が改善に取り組む内容です。当院では患者さんの不安を払拭するようさまざまな対策を行っています。
このページではボロボロになってしまった歯の治療に関して、「治療時の痛み・不快感の軽減」「説明責任」「短期集中治療」「プライバシーへの配慮」といった項目を詳しくお伝えしていきます。

麻酔注射の痛みや治療の時の不快感は、誰でも嫌なものです。
痛みと不快感への配慮として、当院では「2 STEP麻酔法」などの対策を用意しています。患者さんの体と心の状態を確認し、コミュニケーションを取った上で最適な方法をご提案しています。それぞれの方法についても、以下よりご紹介しています。
表面麻酔

歯肉に麻酔液をしみ込ませるのが表面麻酔です。注射の前に実施し、痛みを大幅になくします。
電動麻酔

麻酔液の注入速度を一定にする電動器具を使い、注射の痛みを軽減することができます。

患者さんと緊密にコミュニケーションを取ることは、歯科医としてではなく、医療機関として当然のことと考えます。
しかし、残念なことではありますが一部のクリニックでは患者さんへの説明を徹底することなく、治療を進めてしまうケースがあるとも聞きます。
医療とは、患者さんの身体に関する行為です。そのため、医療に関するすべての決定権は「患者さん」が持っているはず。一方で患者さんは「医療に関しては素人」です。そこで、私たち医療のプロである医師の努めは、患者さんがしっかり「理解と納得」をしていただけるまで説明を尽くすことです。
また、私たちプロフェッショナルの歯科医の観点から見て、「不必要」である治療を行う歯科医も存在します。
利益の追求のためなのか、試してみたいだけの治療なのかは分かりませんが、何にしろ、こうした治療はあってはならないことです。
当院ではまず患者さん一人ひとりのための「治療計画」を作成し、しっかりとご説明します。治療の必要性、時間など、すべての項目に理由を含めた詳細をお伝えしています。

当院では「セカンドオピニオン」のこともお気軽におたずねください。セカンドオピニオンとは、医師による「第2の意見」。ある病気を100人の医師が診断したとして、理想は全員の医師が1つの正解である治療方法に行き着くことです。ところが実際には、医師によって何パターンもの診断や治療法が提示されます。これは医師の考え方に流派が存在することが原因です。「ひとつの症状に、ひとつの治療しか存在しない」という事は非常に稀なケース。実際は、いくつかの治療が存在することをご理解ください。こうした現状に対して、患者さんが「それならば、どの治療が一番いいの?」と感じられることも当然です。
しかし一番良い治療法とは、実は患者さんの「価値観」に左右されてしまうのです。なぜなら、どの治療法にもメリットとデメリットが存在しているからなのです。治療法を選ぶために患者さんができることは、それぞれの治療法のメリット・デメリットを知ること。そして、ご自身の価値観に照らし合わせて最適な治療法を選ぶことです。歯科医師の考え・流派によって提案される治療法が異なることから、治療方法を選ぶためには、1人の歯科医師の話だけで不十分なことがあります。

そこで「セカンドオピニオン」が必要となってきます。患者さんの価値観に合った治療法を選択するために、複数の医師から複数の治療法を提案してもらう方法です。セカンドオピニオンは単に複数の医師の治療方法を知る機会だけではなく、医師の「人柄」などを直接感じることができる機会です。「この先生になら治療を任せたい」「この先生が良いという治療法なら」といった気持ちも重要なものです。歯科医療と言えど、結局、「人と人」との信頼関係が大切です。信頼できる歯科医師を見つけるための方法としても、セカンドオピニオンを活用してみてください。
当院では、患者さんが抱えていらっしゃるお口のお悩みや疑問・不安などにお応えする機会を設けております。どんなことでも構いませんので、私たちにお話ししていただけたらと思います。
ご興味がある方は下記からお問い合わせください。
